top of page

ART OF COMPOSITE

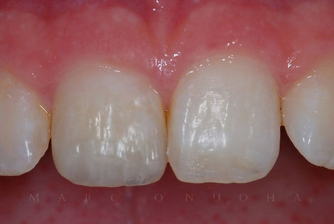
BEFORE

AFTER

Jægersborg Allé 80, Charlottenlund, Denmark - 39 64 04 40 - info @ klinikholstein .dk © 2021 by Marc Onuoha

bottom of page